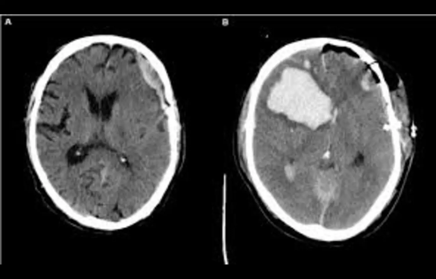
Traumatic brain injuries in older adults linked to increased risk of dementia: Study
- 10 October 2025
- 1 week ago
Hypertonic Saline No Better Than Standard Care For Improving Outcomes In TBI Patients: JAMA
- 29 July 2025
- 2 months ago
Recent News
Mastectomy linked to worsened sexual health, body...
- 21 October, 2025
Women with This Common Condition Face Higher Risk...
- 21 October, 2025
Why Women Face Higher Risk of Alzheimer's and Mult...
- 21 October, 2025
Long-term Exercise Keeps Immune System Younger and...
- 21 October, 2025
Circadian Syndrome Outperforms Metabolic Syndrome...
- 21 October, 2025
Daily Newsletter
Get all the top stories from Blogs to keep track.