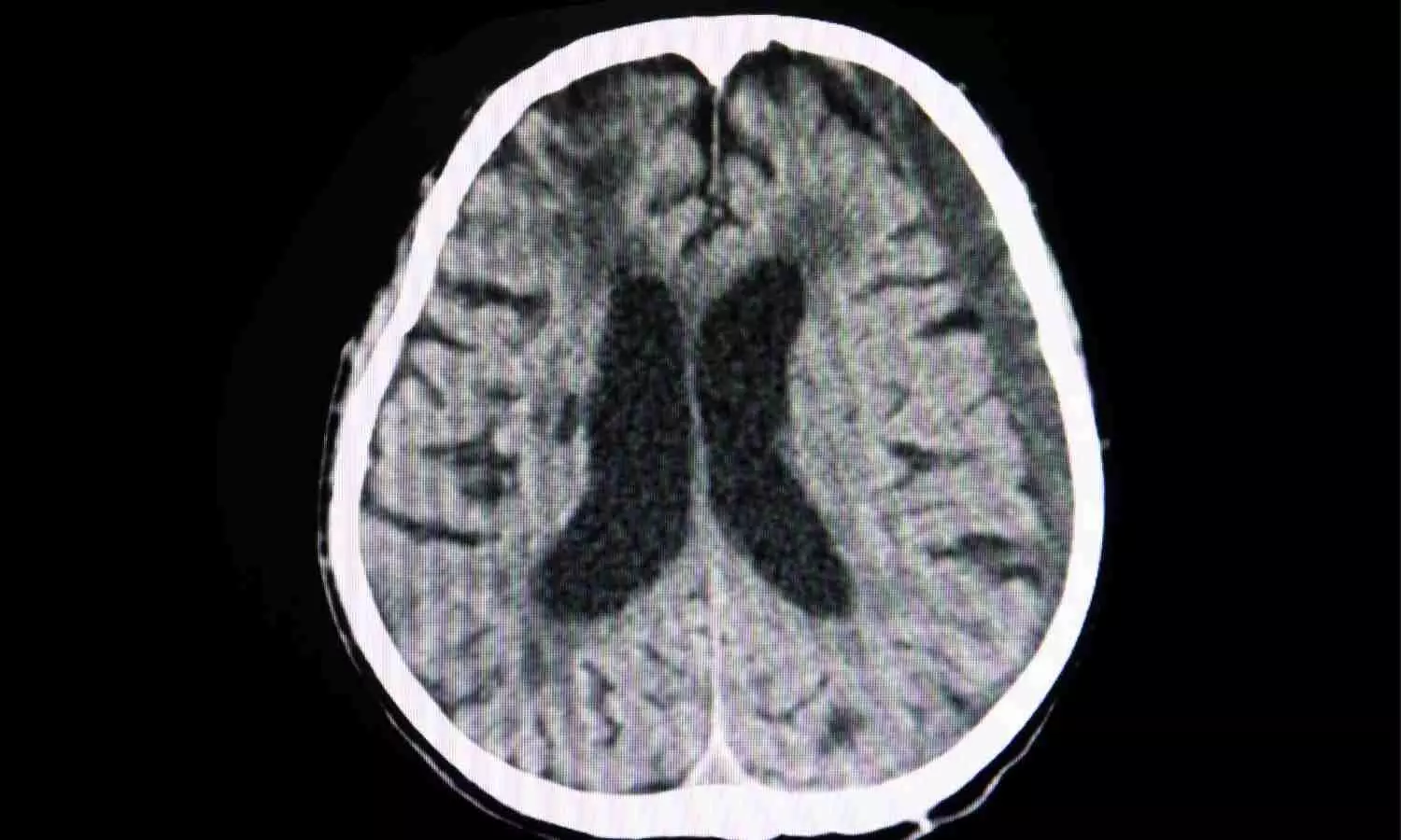
Study Finds No Clear Benefit of Early Surgery Over Conservative Care in Traumatic Acute Subdural Hematoma
- 12 October 2025
- 1 week ago
Delayed ACL Surgery May Be Safe For Many Adults, Less So For Some Children
- 02 August 2025
- 2 months ago
Recent News
Activated PRP Plus Angioplasty Enhances Healing in...
- 24 October, 2025
Can Taking 4,000 Steps Just Once a Week Lower the...
- 24 October, 2025
Cochrane Review Supports Immediate Skin-to-Skin Co...
- 24 October, 2025
Soft Drink Consumption May Trigger Depression - He...
- 24 October, 2025
GERD Linked to Higher Risk of Developing Alcohol U...
- 24 October, 2025
Daily Newsletter
Get all the top stories from Blogs to keep track.


